المدونــة

العدو الخفي لابتسامتك: تأثير السكريات على الأسنان

العدو الخفي لابتسامتك: تأثير السكريات على الأسنان

العدو الخفي لابتسامتك: تأثير السكريات على الأسنان

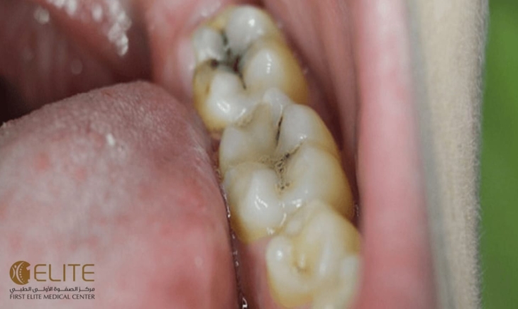
السكريات جزء لا يتجزأ من النظام الغذائي اليومي، لكنها تُعد من أبرز العوامل التي تُهدد صحة الأسنان. فالاستهلاك المفرط للسكريات، خاصةً في غياب العناية الفموية الجيدة، يؤدي إلى سلسلة من التفاعلات البيولوجية التي تُضعف الأسنان وتُعرضها للتسوس وأمراض اللثة.

 كيف تبدأ المشكلة؟

عند تناول السكريات، تتفاعل مع البكتيريا الموجودة طبيعيًا في الفم، خاصةً تلك التي تُعرف باسم Streptococcus mutans. هذه البكتيريا تستخدم السكريات لإنتاج أحماض، وهذه الأحماض تبدأ في مهاجمة طبقة المينا (الطبقة الخارجية الصلبة للأسنان).

 دورة التسوس

  1. تناول السكريات (مثل الحلويات، المشروبات الغازية، العصائر الصناعية).
  2. تغذية البكتيريا على هذه السكريات.
  3. إنتاج الأحماض التي تُهاجم المينا.
  4. تآكل المينا وظهور ثقوب صغيرة.
  5. تطور التسوس ليصل إلى طبقات أعمق من السن.

 السكريات المخفية

ليست الحلويات فقط هي الخطر، بل هناك سكريات مخفية في:

  • الخبز الأبيض
  • الكاتشب والصلصات الجاهزة
  • الزبادي المنكّه
  • المشروبات الرياضية

هذه المنتجات قد تبدو غير ضارة، لكنها تحتوي على سكريات تُغذي البكتيريا بنفس الطريقة.

 كيف نحمي الأسنان من تأثير السكريات؟

  • تنظيف الأسنان مرتين يوميًا باستخدام معجون يحتوي على الفلورايد.
  • استخدام خيط الأسنان لإزالة بقايا الطعام بين الأسنان.
  • تقليل تناول السكريات خاصةً بين الوجبات.
  • شرب الماء بعد تناول السكريات للمساعدة في غسل الفم.
  • زيارة طبيب الأسنان دوريًا للكشف المبكر والعلاج.

 خلاصة

السكريات ليست العدو الوحيد للأسنان، لكن تأثيرها المباشر في تغذية البكتيريا وإنتاج الأحماض يجعلها من أخطر العوامل المسببة للتسوس. التوازن بين النظام الغذائي والعناية الفموية هو المفتاح للحفاظ على ابتسامة صحية تدوم مدى الحياة.

في مركز الصفوة الاولى الطبي نحرص على توعية مرضانا بأهمية الوقاية والعناية الفموية لنؤكد مكانتنا كأفضل مركز طبي في الشارقة 

Image

إن صحة مرضانا هي المسألة الأكثر أهمية في مركزنا ونحن نكرس معرفتنا وخبرتنا لتحديد المشكلة، وتثقيف المريض عن كيفية المحافظة على صحته ومساعدة كل من هم في حاجة إلينا.

القائمة

خدماتنا

للتواصل معنا

0097165507709
00971505505760

firstelitemc@gmail.com

الشارقة ، المجاز 1, كورنيش البحيرة
، بناية بالرشد 1306

تصميم وتطوير شركة أحمد الصادق لخدمات الأعمال