هوليود سمايل: سر الابتسامة المثالية
هوليود سمايل: ابتسامة مثاليه تبرز جمالك الطبيعي
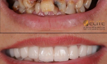
تُعد هوليود سمايل من أبرز وأجمل التقنيات التجميلية في عالم طب الأسنان، حيث أصبحت رمزًا للابتسامة الجذابة والمشرقة التي تعكس الثقه والجمال فهي ليست مجرد إجراء تجميلي، بل خطوة تعزز المظهر العام وتمنح الشخص حضورًا مميزًا و لمسه من الاناقه.
ما هي هوليود سمايل؟
هوليود سمايل هي تقنية تجميلية متطورة تهدف إلى تحسين شكل الأسنان وجعلها أكثر تناسقًا وبياضًا تعتمد على تصميم ابتسامة مثالية تتناسب مع ملامح الوجه، من حيث شكل الأسنان، حجمها، ولونها، مما يمنح ابتسامة طبيعية وجذابة في الوقت نفسه.
مميزات هوليود سمايل
تتميز هوليود سمايل بالعديد من الفوائد الرائعة، من أهمها:
• تمنح الأسنان لونًا أبيض ناصعًا ومشرقًا
• تعطي ابتسامة متناسقة وجذابة
• تُخفي التصبغات والفراغات البسيطة
• تُحسّن من شكل الأسنان وحجمها
• تعزز الثقة بالنفس وتترك انطباعًا إيجابيًا
• تمنح مظهرًا أنيقًا وشبابيًا للوجه
• نتائجها واضحة وسريعة
هوليود سمايل والجمال الطبيعي
من أجمل ما يميز هوليود سمايل أنها تُصمَّم خصيصًا لكل شخص، بحيث تتناسب مع ملامح الوجه ولون البشرة، مما يجعل الابتسامة تبدو طبيعية وغير مبالغ فيها، وتعكس جمالًا راقيًا وبسيطًا.
تأثير هوليود سمايل على الثقة بالنفس
تلعب الابتسامة دورًا كبيرًا في التواصل الاجتماعي، وهوليود سمايل تساعد على الشعور بالراحة عند الابتسام والتحدث والضحك
دون تردد، مما ينعكس إيجابيًا على الحياة الاجتماعية والمهنية.
الخلاصة
هوليود سمايل هي الخيار الأمثل لكل من يبحث عن ابتسامة مشرقة ومثالية تجمع بين الجمال، الأناقة، والثقة. فهي تمنح مظهرًا جذابًا يدوم طويلًا ويجعل الابتسامة عنوانًا للثقة والجاذبية
في مركز الصفوة الأولي الطبي خدمات هوليود سمايل بأحدث التقنيات الطبية، مع تصميم ابتسامة متكاملة تعكس الجمال الطبيعي وتمنح ثقة تدوم.


